近日,遵义市第五人民医院消化内科在上海市第一人民医院援遵专家的指导和院内多学科配合下,成功为一例胰腺巨大假性囊肿的患者实施了超声内镜引导下支架置入引流术并获成功,目前患者生命体征及各项生理指标平稳,假性囊肿明显缩小,腹部胀痛得到缓解,基本恢复正常饮食,病情显著改善。
患者,蒲某,35岁男性,半年前突发上腹胀痛,于外院确诊为“急性重症胰腺炎”,由于病情反复,辗转省内多家二级、三级医院,治疗效果不满意,且发生胸腹腔积液、胰腺假性囊肿,虽多次行经皮胸腹腔穿刺置管引流术,但症状缓解欠佳,腹部胀痛明显,严重影响患者生活质量。
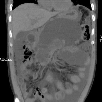
2021年1月底在家人的陪同下蒲某就诊遵义市第五人民医院,以急性胰腺炎并发假性囊肿形成收入普外科治疗。入院时,患者严重贫血、营养不良、电解质代谢紊乱、腹腔积液、胰腺假性囊肿形成,张丰深主任、孙海主任的普外科团队及时给予患者抑制胰酶分泌、肠内外营养支持、多次胸腹腔穿刺引流等治疗,其贫血情况、营养状态得到显著改善,但复查腹部影像显示胰腺假性囊肿较入院时变化不大。
考虑到患者体质较差,从发病到现在半年多时间里,几乎奔波在各大医院之间,长时间的病痛折磨、禁食、卧床,让他痛不欲生,体质虚弱、病情趋于复杂,普外科联合消化内科、麻醉科等多学科会诊。会诊中,遵义市消化病临床中心执行主任、上海市第一人民医院援遵专家陈达凡博士认为患者目前症状与胰腺巨大假性囊肿的压迫具有相关性,建议针对患者胰腺假性囊肿行超声内镜引导下囊肿置管引流术,这种创伤小、恢复快的内镜下微创治疗方案得到了专家们一致认可。随后,患者转入消化内科治疗。
蒲某家庭十分困难,在拖欠普外科住院治疗费一万多元及无力支付余下医疗费用的情况下,消化内科同仁并没有因为费用问题放弃对患者的救治,郑义主任及时向医院反馈情况,并主动与“义海救助基金”管理委员会联系。在院领导的大力支持下,经过多方努力顺利通过相关审核,获得“义海救助基金”救助,解决了患者的医疗费用问题。
患者病程较长、病情复杂,且遵义市五医之前未开展过此类手术,为保证操作的顺利进行,消化内科同仁反复多次进行术前讨论,针对术中和术后的各个环节、可能出现的意外做了充分准备,同时和上一医南院的李百文主任、罗声政博士、龚晓媛护士长密切商讨,制定了严密的手术方案。并请相关科室进行会诊,在术前麻醉评估中,麻醉科闫明主任认为患者假性囊肿巨大,必须注意预防大量囊液流入胃内后反流导致的误吸,操作应在气管插管全麻下进行,以保证手术安全。
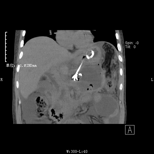
经过充分的术前准备,在麻醉科、介入室的配合下,3月11日由陈达凡主任及消化内科团队为患者实施了超声内镜引导下胰腺巨大假性囊肿支架置入引流术。手术中,首先通过超声内镜寻及胰腺假性囊肿,发现病灶多处局部血供丰富,如操作不慎,即有发生大出血的可能。针对此情况,超声内镜正可发挥优势,其多普勒显示功能对血流具有敏锐探查能力,在它引导下避开血管,选择了最佳的引流部位。在穿刺针进入囊腔后,应用专门电切装置,依次切开胃壁、囊腔壁,并进行瘘管扩张,可见大量囊液流出。为保证囊液的流出持续通畅,置入了双支架进行引流。整个手术过程创伤小,基本没有出血,且在全麻状态下施行操作,患者没有痛苦感受,术后第二天便可做床边一般活动及逐渐恢复饮食。
术后患者出现短暂发热,经及时调整抗感染治疗方案,数日内体温即恢复正常。因患者胰腺坏死严重,内分泌功能受损,血糖有明显波动,经常出现血糖升高情况,也偶有低血糖症状发生,严重影响患者病情恢复。针对此情况,内分泌科杨杨秀梅主任制度了详实的血糖控制方案,根据其血糖情况,进行实时的胰岛素用法调整,同时,王朝霞护士长带领护理团队,对患者的饮食时间、饮食量进行了合理、规范安排,最终让患者血糖得到了良好、稳定的控制。
目前,经消化内科医护团队的精心治疗,医院多个科室的大力支持,患者精神状态佳,腹部症状得到缓解,复查CT显示假性囊肿明显缩小,病情逐步恢复。
胰腺假性囊肿多继发于急性重症胰腺炎、慢性胰腺炎、胰腺损伤及胰腺外科手术术后胰漏,由血液、胰液外渗以及胰腺自身消化导致局部组织坏死崩解物等的聚积,不能吸收而逐渐包裹形成,囊壁由炎性纤维结缔组织构成,囊内无胰腺上皮层衬垫,因此称为胰腺假性囊肿。对于胰腺假性囊肿,传统的治疗方法主要是外科手术和经皮穿刺引流。外科手术创伤较大,且术后患者不良反应较多。而经皮穿刺引流术容易引流不彻底,易感染和复发。超声内镜引导下胰腺假性囊肿穿刺置管引流术具有疗效确切、微创、花费少、痛苦小、恢复快、并发症少、复发率低等优点,已逐渐成为胰腺假性囊肿首选的治疗方法。
该病例的成功救治,显示了遵义市五医较高的多学科救治水平,也标志着遵义市五医消化内镜诊疗技术日臻完善,救治重症消化系统疾病能力进一步增强,将能更好地服务于广大患者。



